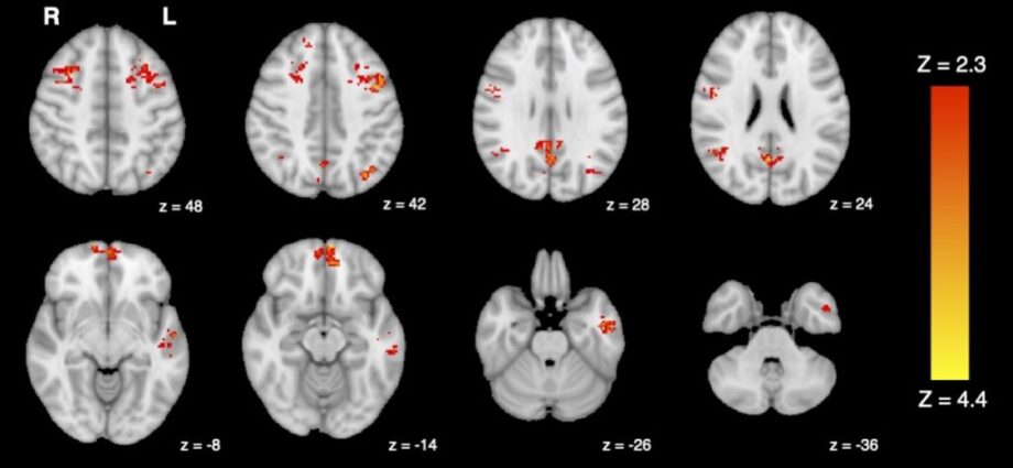
O primeiro estudo do mundo sugere que mesmo uma breve exposição à poluição do ar tem impactos rápidos no cérebro. Por Universidade da Colúmbia Britânica com informações de Science Daily Um novo estudo mostrou que níveis comuns de poluição no trânsito podem prejudicar a função do cérebro humano em apenasContinue Reading

Um estudo mundial não encontrou quase nenhum lugar na Terra com níveis consistentemente seguros de poluição do ar. Com informações de Science Alert. O estudo, liderado pela Monash University na Austrália, descobriu que apenas 0,001% da população mundial foi exposta a baixos níveis de poluição do ar em 2019; globalmente, 70% dosContinue Reading

Novo relatório escrito alerta sobre muitos ciclos de feedback climáticos arriscados e a necessidade de ação tanto em pesquisa quanto em políticas. Pelo Conservation Biology Institute com informações de Phys. Publicado na revista One Earth em 17 de fevereiro, o relatório  escrito por uma equipe internacional de pesquisadores, incluindo cientistas daContinue Reading

A extensão do gelo marinho no Oceano Antártico agora é a mais baixa desde o início da observação por satélite há quarenta anos. Por Instituto Alfred Wegener, Centro Helmholtz para Pesquisa Polar e Marinha com informações de Science Daily. Atualmente, há menos gelo marinho na Antártica do que em qualquerContinue Reading

Nuvens raras que emitem luz brilhante e multicolorida como uma aurora foram recentemente vistas em vários locais no Ártico. Mas o que os causa? Com informações de Live Science Os céus escuros do Círculo Polar Ártico brilharam recentemente com uma etérea luz multicolorida. Mas esse espetáculo de cair o queixo não foiContinue Reading