Pesquisadores analisaram diários pós-tratamento mantidos pelos participantes em um estudo para parar de fumar e que descobriu que os psicodélicos eram eficazes em ajudar algumas pessoas a parar de fumar por anos. Por Michael Miller, Universidade de Cincinnati com informaçõe de Medical Xpress. Em um novo artigo publicado no Kennedy Institute ofContinue Reading

Faça mais exercícios. Coma direito. Fazer novos amigos. E o que mais? Por Lisa Marshall, Universidade do Colorado em Boulder com informações de MedicalXpress Enquanto compilamos nossas listas de resoluções destinadas a melhorar a saúde física e mental em 2023, uma nova pesquisa da CU Boulder sugere que uma adição pode ter um impacto poderoso:Continue Reading

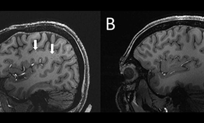
Os cientistas podem ter acabado de encontrar uma nova pista importante que pode ajudar a resolver o mistério frustrante e contínuo da enxaqueca. Com informações de Science Alert. Usando ressonância magnética de ultra-alta resolução , os pesquisadores descobriram que os espaços perivasculares – espaços cheios de líquido ao redor dos vasos sanguíneosContinue Reading

O estresse de viver em meio a bloqueios pandêmicos acelerou o envelhecimento no cérebro dos adolescentes. Os efeitos são semelhantes aos observados anteriormente como resultado de violência, negligência e disfunção familiar. Com informações de Science Alert. Mesmo que você tenha deixado a adolescência para trás, deve se lembrar que pode ser um períodoContinue Reading